Call for consultation today:
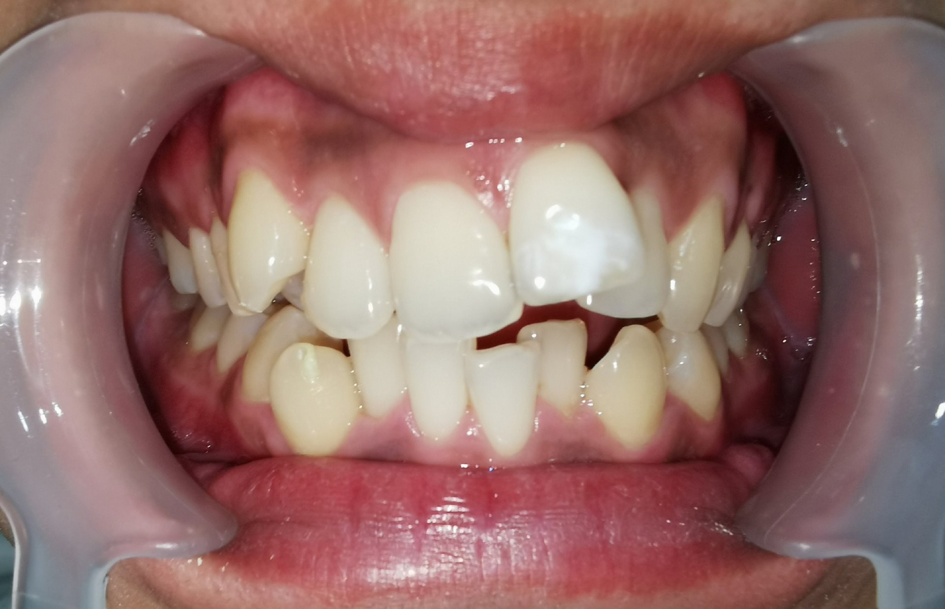
A perfect smile is more than just an aesthetic goal – it’s a confidence booster and a crucial aspect of oral health.
At Beyond Dental Clinic, we specialise in helping you achieve that perfect smile with braces and clear aligners. These orthodontic treatments are designed to straighten your teeth, correct bite issues, and enhance your overall dental health.
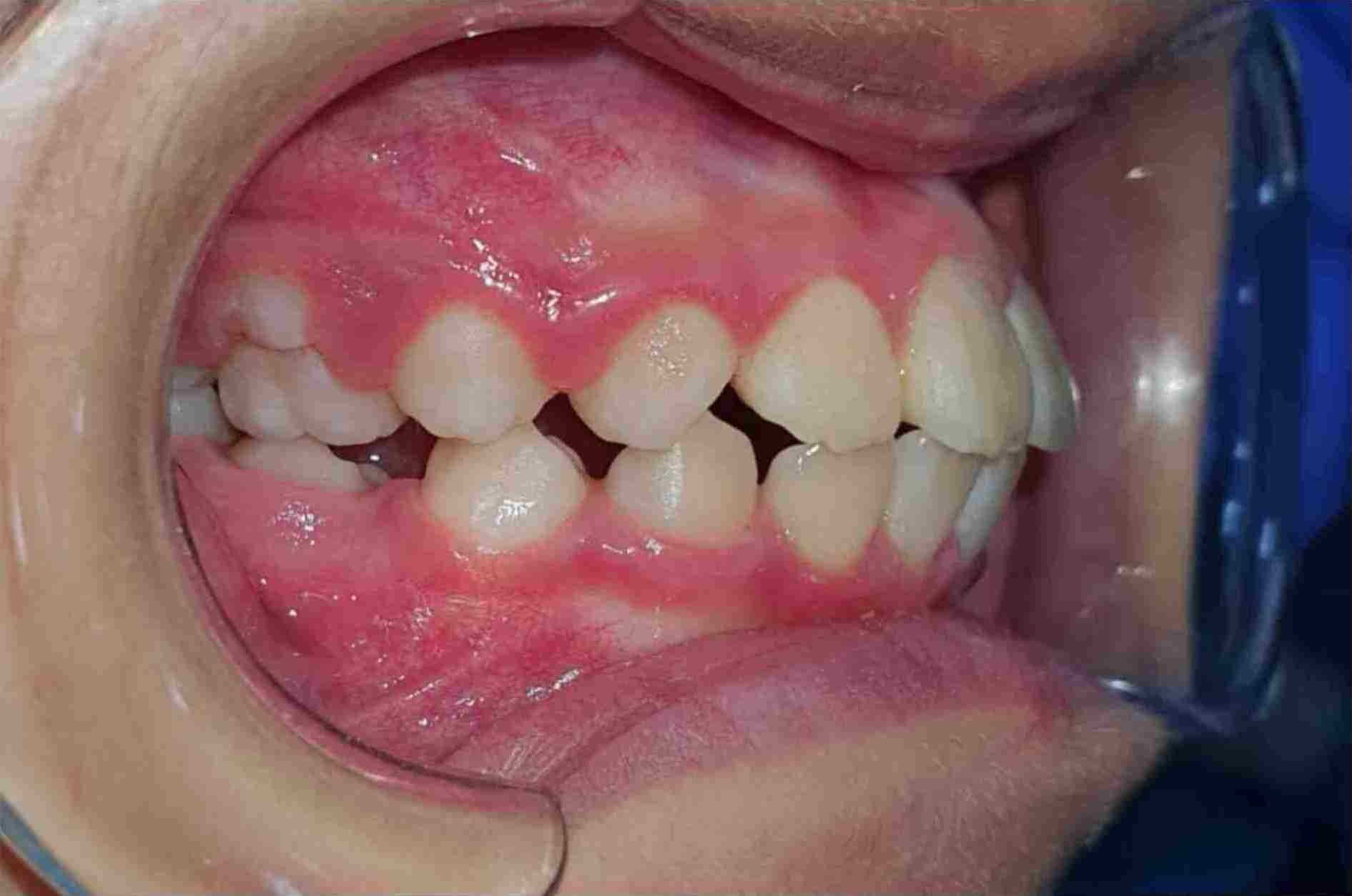
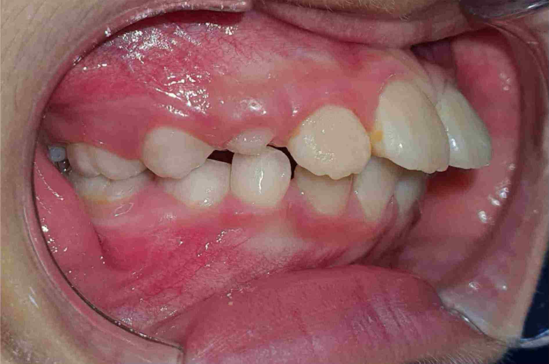
Conventional braces are the most traditional type of orthodontic treatment. They consist of metal brackets and wires that are attached to the teeth using a special adhesive. The wires are adjusted periodically to gradually move the teeth into their desired positions. Despite their classic design, modern braces are sleeker and more comfortable than ever before.
Conventional braces are effective for treating a wide range of orthodontic issues, including crowding, spacing, and bite problems.
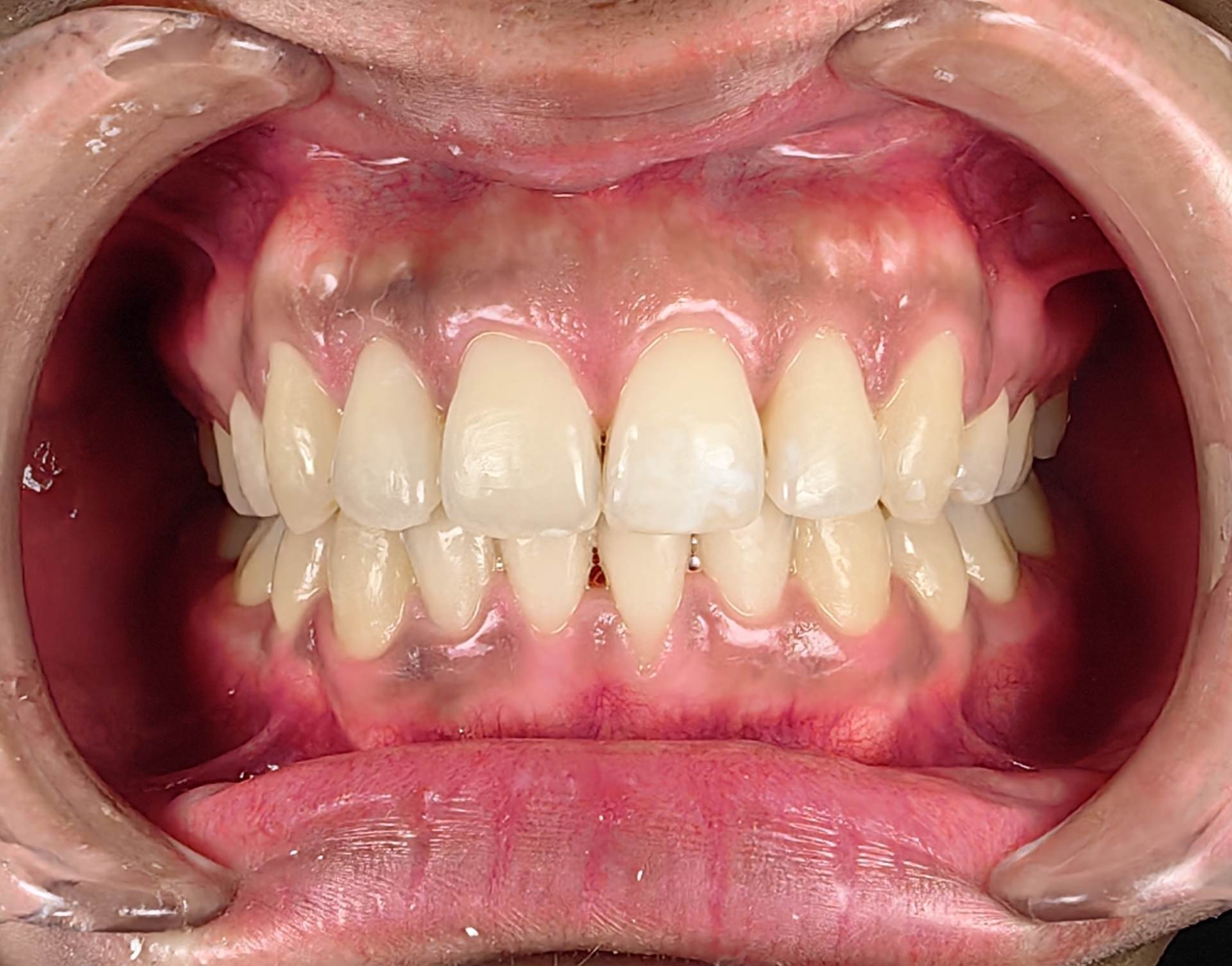
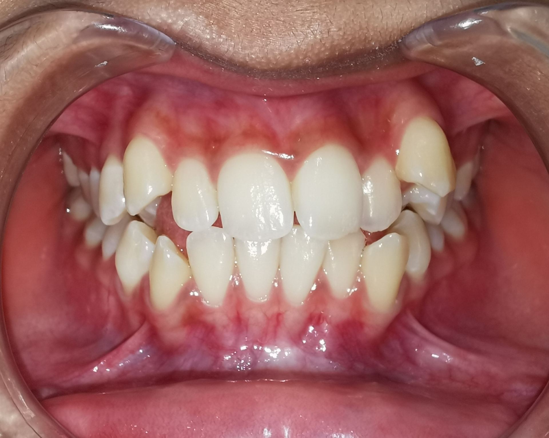
Self-ligating braces are a variation of conventional braces that use a special mechanism to hold the wires in place. This mechanism eliminates the need for elastic bands, making them more comfortable and easier to maintain.
Self-ligating braces are ideal for patients who want a more discreet appearance without sacrificing effectiveness. Moreover, those who opt for self-ligating braces may find themselves enjoying the added benefits of brief orthodontist visits, simpler oral hygiene routines, and a more pleasant overall experience.
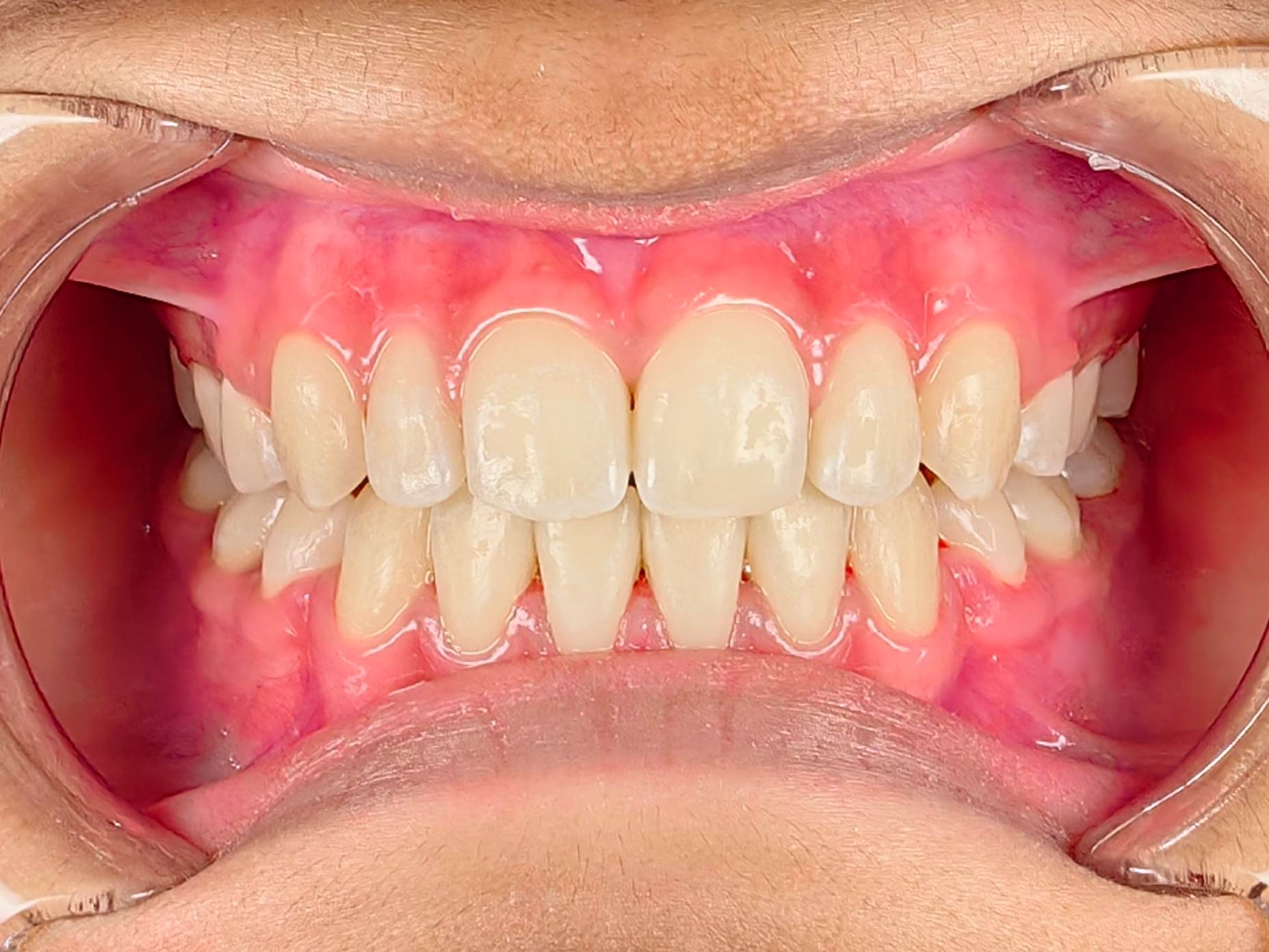
For those seeking a discreet and convenient orthodontic option, clear aligners offer a virtually invisible way to straighten your teeth. Clear aligners work by applying gentle pressure to the teeth to gradually move them into their desired positions.
The aligners are designed to fit your teeth precisely, ensuring that they are comfortable and effective. Clear aligners are removable, making it easy to eat, drink, and brush your teeth normally.