Beyond Dental Clinic | Dental X-rays

Dental X-rays

Precise X-rays empower our tailored treatment plans for your optimal dental health.

At Beyond Dental Clinic, we are committed to offering comprehensive dental care services in Malaysia, ensuring that every aspect of your oral health is meticulously taken care of. One of the crucial diagnostic tools we utilise is dental X-rays.

Dental X-rays, also known as radiographs, are images of your teeth that your dentist uses to evaluate your oral health. These images are created by using low levels of radiation to capture images of the interior of your teeth and gums. This helps us identify problems such as cavities, tooth decay, and impacted teeth, which are not visible during a routine dental exam.

The Importance of Dental X-rays

Dental X-rays are an essential part of your regular dental check-up. Here are some reasons why they are so important:

Early Detection of Dental Problems

One of the primary benefits of dental X-rays is the early detection of dental issues. They can reveal:
Cavities

Even those in between teeth that are not visible during a regular examination.

Bone Loss

Associated with gum disease.

Abscesses

Infections at the root of a tooth or between the gum and a tooth.

Cysts and Tumours

Which can sometimes be cancerous.

For younger patients, dental X-rays play a crucial role in monitoring the growth and development of their teeth and jaws. They can help:
Track the Progress of Tooth Development

Ensure that adult teeth are coming in correctly.

Identify the Need for Orthodontic Treatment

Such as braces or retainers.

Monitoring Growth and Development

Planning Dental Treatments

Dental X-rays are indispensable when planning various dental treatments, such as:
Dental Implants

Assessing bone density and structure.

Root Canal Treatment

Identifying the exact shape and length of the root canals.

Wisdom Tooth Extraction

Determining the position and angle of impacted wisdom teeth.

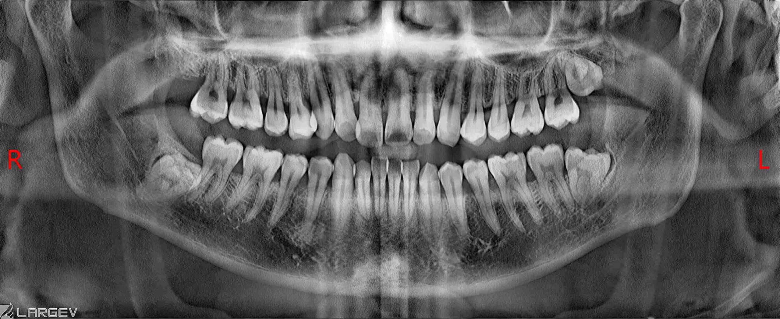
Types of Dental X-rays

There are several types of dental X-rays, each serving a different purpose. At Beyond Dental Clinic, we utilise the latest in digital radiography to ensure the highest quality images with minimal radiation exposure.

2-Dimensional (2D) Digital X-rays

2D digital X-rays capture detailed images of your teeth and surrounding structures. These X-rays are essential for routine examinations, allowing us to detect cavities, monitor tooth development, and assess bone health with precision.

3-Dimensional (3D) Cone Beam CT scan

Our 3D Cone Beam CT scan offers a comprehensive view of your dental anatomy, providing a more in-depth analysis than conventional 2D X-rays. This advanced imaging technique is invaluable for complex cases, such as dental implant planning, root canal treatment, and assessing jawbone structure.

Benefits of Dental X-Rays

Dental crowns and bridges offer several benefits for patients who are missing or have damaged teeth:

Reduced Radiation Exposure

Our digital x-ray systems use up to 90% less radiation than traditional film x-rays, making them a safer option for our patients.

Improved Image Quality

Digital x-rays provide higher-quality, more detailed images that enhance our ability to detect and diagnose dental problems early.

Faster Results

Digital x-rays are immediately available for our dentists to review, allowing for quicker diagnosis and treatment planning.

Enhanced Treatment Planning

The 3D CBCT scans give our dentists a comprehensive view of your oral structures, enabling them to plan complex procedures with greater precision and accuracy.

Environmentally Friendly

Since there are no chemicals needed to develop the images, digital radiography is more eco-friendly compared to traditional X-ray film processing.

Frequency of Dental X-rays

The frequency of dental x-rays can vary depending on a patient’s age, risk of dental disease, and overall oral health. In general, the American Dental Association recommends the following guidelines:

Children

Children should have x-rays taken every 6 to 12 months, depending on their risk of developing cavities.

Adult

Adults with a low risk of dental disease may only need x-rays every 2 to 3 years, while those with a higher risk may need them more frequently.
It’s important to note that these are general guidelines and that individual patients may require more or less frequent x-rays depending on their specific circumstances.

Safety Measures at Beyond Dental Clinic

Your safety is our top priority. Here are some measures we take to ensure your safety during dental X-rays:

About Dental X-rays

Frequently Asked Questions (FAQ)

There is no special preparation needed for a dental X-ray. Just ensure you inform your dentist of any medical conditions, such as pregnancy, and remove any metal objects that might interfere with the imaging.
Yes, dental x-rays are safe for children when taken by a qualified dental professional. The amount of radiation used in modern x-ray equipment is very small and the benefits of early detection and prevention of dental problems outweigh the risks.
While dental x-rays are not specifically designed to detect oral cancer, they can sometimes reveal signs of abnormal growths or lesions in the mouth. If our dentist notices anything suspicious on an x-ray, they may recommend further testing or a referral to an oral surgeon or oncologist.
X-rays are often included as part of routine dental examinations to assess hidden areas of the mouth that may not be visible during a visual inspection. They aid in comprehensive oral health assessment.
Take the first step towards a healthier, brighter smile

Book your appointment with Beyond Dental today!

Open chat
Hello
Can we help you?