Beyond Dental Clinic | Teeth Whitening

Teeth Whitening

Illuminate your smile with our expert whitening magic, for a beaming and bold grin

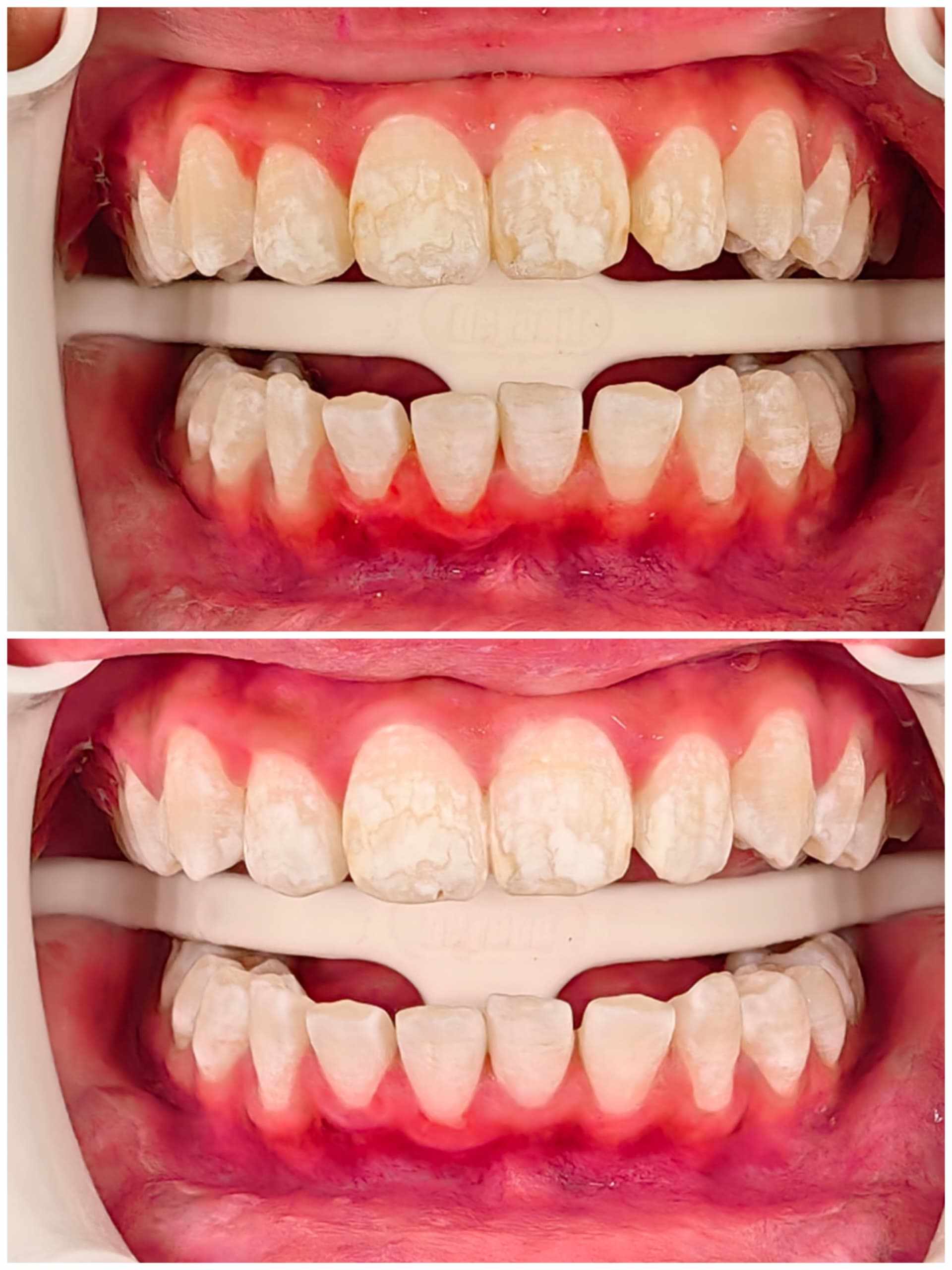
Teeth whitening is one of the most sought-after dental treatments for individuals seeking a brighter, more radiant smile. At Beyond Dental Clinic in Kuala Lumpur, Malaysia, we offer state-of-the-art teeth whitening services that are safe, effective, and customised to meet your unique needs.

Our experienced dental professionals utilise the latest techniques and products to ensure you achieve the best possible results. Whether you are looking for a quick in-office treatment or a convenient home whitening kit, Beyond Dental Clinic has the perfect solution for you.

Types of Teeth Whitening Services at Beyond Dental Clinic

In-Office Whitening

In-office whitening at Beyond Dental Clinic is the quickest and most effective way to achieve a significantly brighter smile.

During this procedure, our dentists will apply a highly concentrated whitening gel to your teeth and then use a specialised light or laser to activate the gel, breaking down stains and discoloration. This process typically takes just one or two visits, and you can expect to see a noticeable difference in the brightness of your smile immediately.

The in-office whitening treatment is ideal for patients who want to see quick results or who have significant discoloration that is resistant to other whitening methods. It’s also a great option for those who want to whiten their teeth before a special event, such as a wedding or reunion.
For those who prefer the convenience of whitening their teeth at home, Beyond Dental Clinic offers customised home whitening kits. These kits include professional-grade whitening gel and custom-fitted trays, ensuring a snug fit and even distribution of the whitening agent.

The home whitening kit is a great option for patients who want to whiten their teeth at their own pace or who have sensitive teeth that may not tolerate the more intense in-office treatment. It’s also a more affordable alternative for those on a budget.

Home Whitening Kit

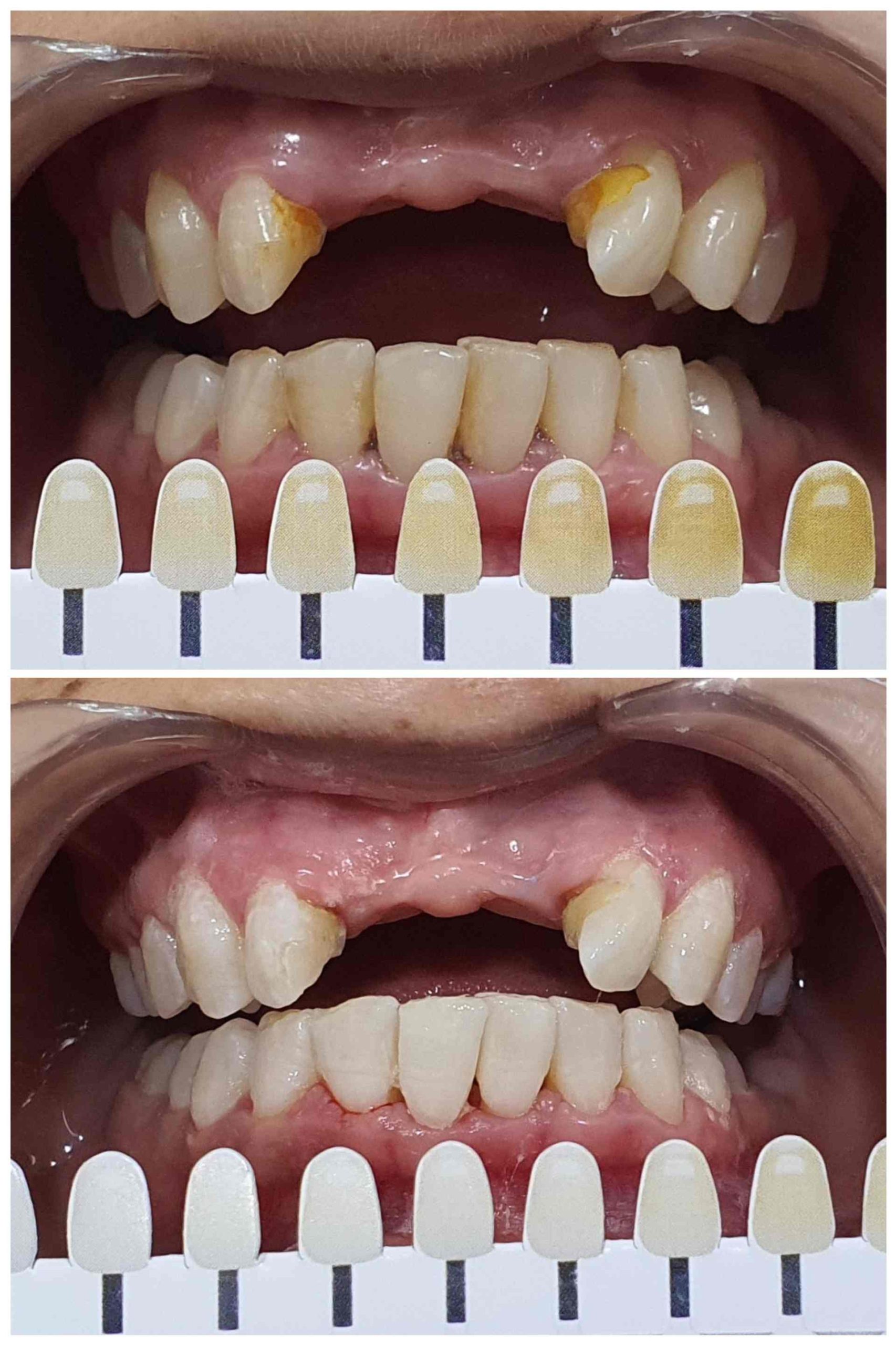
Single Tooth Whitening

Single tooth whitening is ideal for individuals who have one or two teeth that are significantly more discoloured than the rest.

This is often the case for patients who have had a root canal or who have a tooth that has been stained by certain medications.

This treatment focuses on whitening those specific teeth to match the colour of the surrounding teeth, ensuring a uniform and natural-looking smile.

Key Aspects of Teeth Whitening

When considering teeth whitening treatments, it’s important to understand the key aspects and benefits:

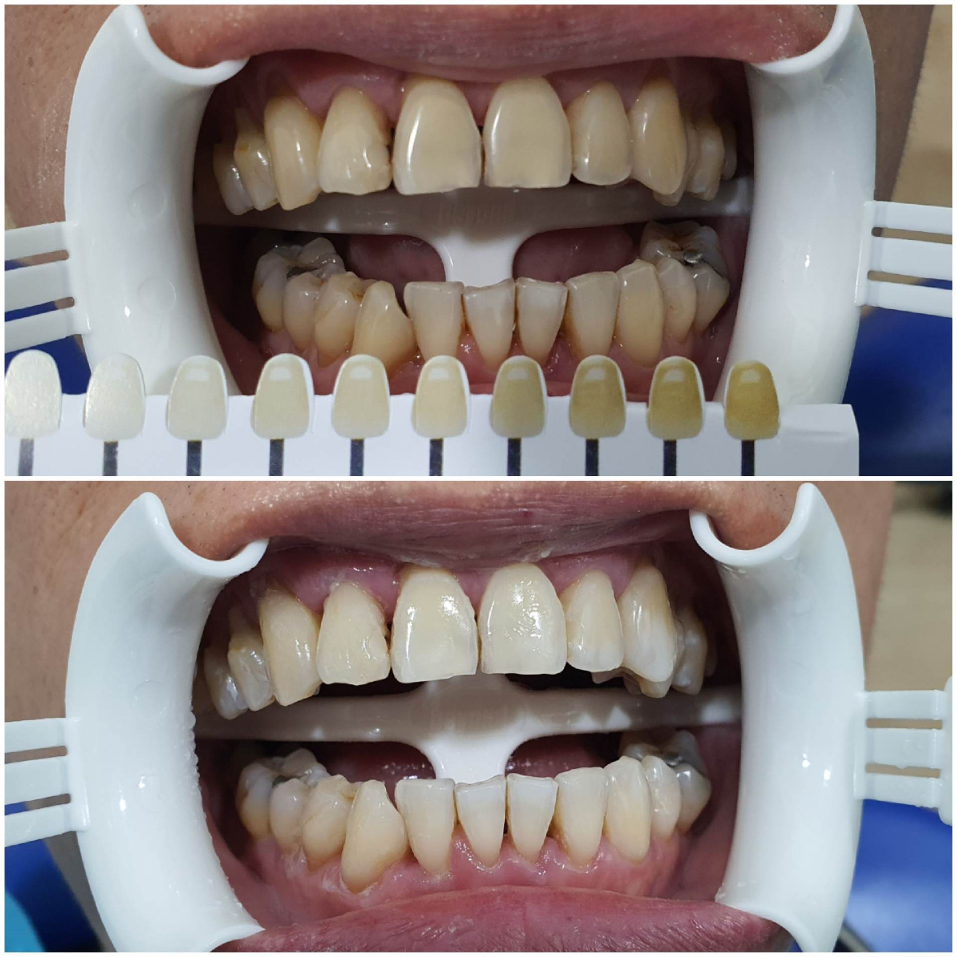
Effectiveness

Professional teeth whitening treatments are much more effective than over-the-counter products, as they use higher concentrations of whitening agents.

Safety

Our whitening treatments are designed to be safe and gentle on your teeth and gums, with minimal risk of sensitivity or irritation.

Customization

We can tailor our whitening treatments to your specific needs and preferences, whether you're looking for a quick in-office solution or a more gradual home-based approach.

Long-Lasting Results

With proper care and maintenance, the results of our teeth whitening treatments can last for several months or even years.

Factors to Consider When Planning Teeth Whitening

Existing Dental Work

If you have fillings, crowns, or other dental work, it's important to let our team know, as these may affect the results of the whitening treatment.

Tooth Sensitivity

Some patients may experience temporary tooth sensitivity during or after the whitening process. Our team can recommend ways to minimise this discomfort.

Lifestyle Habits

Certain foods, drinks, and habits (such as smoking) can stain your teeth over time, so it's important to be mindful of these factors after your whitening treatment.

Maintenance

Regular touch-up treatments or at-home whitening kits can help you maintain the results of your whitening treatment for longer.

About Teeth Whitening

Frequently Asked Questions (FAQ)

When performed correctly by a professional, teeth whitening is not typically harmful to your teeth or gums. However, it’s important to follow the instructions provided by our dentist and to avoid overusing whitening products, as this can lead to tooth sensitivity or other issues.
Professional teeth whitening treatments offered at Beyond Dental Clinic are formulated with higher concentrations of whitening agents, making them more effective and providing quicker results compared to over-the-counter products.
While teeth whitening can effectively lighten most extrinsic stains caused by food, beverages, and tobacco, it may not be as effective for intrinsic stains caused by factors such as genetics or medication. Our dentist at Beyond Dental Clinic can assess the type of discoloration and recommend the most suitable treatment option.
Teeth whitening treatments do not affect dental restorations such as crowns, veneers, or fillings. If you have restorations, your dentist will discuss the best approach to ensure a uniform appearance.
Take the first step towards a healthier, brighter smile

Book your appointment with Beyond Dental today!

Open chat
Hello
Can we help you?