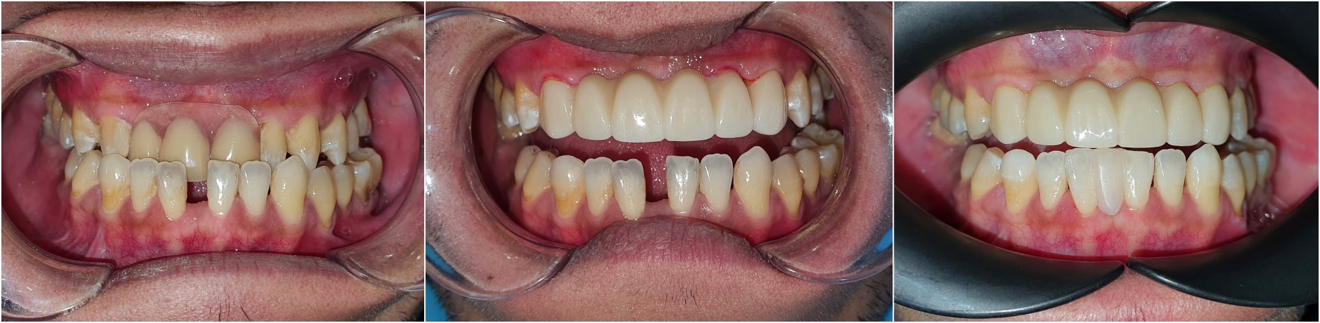
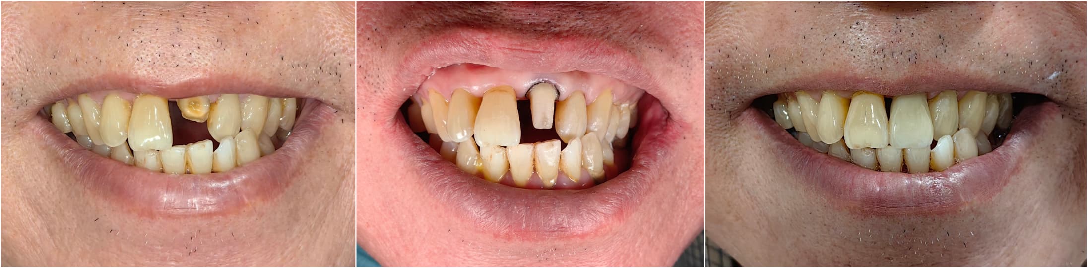
A dental crown is a tooth-shaped covering that is placed over a damaged or weakened tooth to restore its shape and appearance. In cases of severely decayed tooth, fractured, or weakened tooth due to large fillings or root canal treatment, dental crown is recommended to restore the tooth strength and function.